Mezenchymalne komórki macierzyste [ang. mesenchymal stem cells (MSC)] to heterogenna populacja multipotencjalnych komórek macierzystych/progenitorowych charakteryzująca się specyficznymi właściwościami tj.: zdolnością do samoodnawiania oraz zdolnością do zainicjowania procesu powstawania potomnych komórek progenitorowych ukierunkowanych na różnicowanie w kierunku określonej linii komórkowej. MSCs biorą udział w regeneracji uszkodzonej tkanki, w której rezydują, oraz dzięki właściwościom multipotencjalnym mają zdolność do różnicowania się w różne typy komórek nie tylko pochodzenia mezodermalnego. Komórki posiadające cechy MSC zostały wyizolowane z wielu narządów i tkanek ludzkiego organizmu, w tym ze szpiku kostnego, tkanki tłuszczowej, skóry, mięśni szkieletowych, miazgi zębowej i wielu innych, a ich dostępność, możliwość izolacji i hodowli pozaustrojowej sprawiają, że stały się intersującym celem badań dotyczących potencjalnego zastosowania w medycynie regeneracyjnej.


Charakter komórek MSC
Dynamiczny rozwój badań nad mezenchymalnymi komórkami macierzystymi na przełomie XX i XXI wieku wzbudził zainteresowanie naukowców i klinicystów potencjałem terapeutycznym MSC i potencjalnym wykorzystaniem tych komórek w medycynie regeneracyjnej. Poznanie właściwości biologicznych MSC dało nadzieję na ich zastosowanie w medycynie regeneracyjnej u chorych, u których konwencjonalne możliwości leczenia zostały wyczerpane. Aby zapewnić odpowiednią jakość MSC i jednolity charakter biologiczny MSC International Society for Cellular Therapy (ISCT) opracowało ujednolicone kryteria biologiczne, które powinny spełniać komórki nazywane „mezenchymalnymi komórkami macierzystymi”. MSCs można pozyskać z wielu tkanek i narządów dorosłego organizmu jednakże, przed zastosowaniem klinicznym, ich właściwości powinny zostać udokumentowane spełnieniem podstawowych cech biologicznych rekomendowanych przez ISCT.
MSC muszą spełniać trzy zdefiniowane cechy biologiczne:
- adhezja do plastiku,
- obecność markerów CD73, CD90, CD105 i brak markerów charakterystycznych dla komórek hematopoetycznych CD34 i CD45,
- powinny wykazywać zdolności do różnicowania w kierunku adipocytów, chondrocytów i osteoblastów.
Jednakże, oprócz podstawowych markerów charakterystycznych tj. CD73, CD90, CD105, komórki MSCs może wyróżniać ekspresja wielu innych markerów np. CD13, CD29, CD44, CD49, CD54, CD140b, CD146, CD276, a ich fenotyp może się różnić w zależności od pochodzenia tkankowego.
Różnicowanie
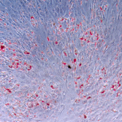
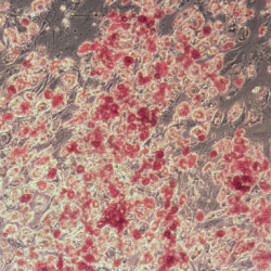
Różnicowaniem nazywamy proces stopniowej przemiany komórki macierzystej w tkankowo wyspecjalizowaną komórkę. W kontekście mezenchymalnych komórek macierzystych (MSC) zaobserwowano, że komórki mają zdolność do różnicowania się w kierunku wielu rodzajów tkanki łącznej m.in. do tkanki kostnej (osteogeneza), tkanki chrzęstnej (chondrogeneza), tkanki tłuszczowej (adipogeneza), tkanki mięśnia szkieletowego (miogeneza), mięśnia sercowego (kardiomiogeneza), ścięgien, więzadeł, a także w kierunku komórek tkanki nerwowej. Proces różnicowania MSCs w kierunku określonej tkanki jest zapoczątkowany przez zdefiniowane czynniki genetyczne i zachodzi w obecności czynników wzrostowych, które odpowiadają za ukierunkowane różnicowanie MSCs.
BAZA INFORMACJI NAUKOWYCH
WSPIERAJĄCYCH INNOWACYJNE TERAPIE
PRZYKŁADY ZASOBÓW BAZY KOMÓREK MACIERZYSTYCH











